Zahnkronen stabilisieren und schützen wertvolle Zahnsubstanz
Stark beschädigte Zähne werden mit einer Krone aus Keramik oder Gold versorgt, um Wurzel und Basis der natürlichen Zahnsubstanz zu retten und zu stabilisieren. Denn solange die Wurzel stabil ist, lohnt es sich, den Zahn auf diese Weise zu erhalten.
Die neue Zahnkrone umhüllt den verbliebenen Zahn wie ein schützender Mantel. Sie gibt ihm seine ursprüngliche Form zurück – und Ihnen die volle Kaukraft.Bei Bedarf setzen wir zusätzlich Stifte ein, die den Restzahn auch von innen stützen.
Hohe Qualität bei Material und Verarbeitung
Aus moderner Hochleistungskeramik gefertigt – auf Wunsch verwenden wir auch andere Materialien wie z.B. Gold – halten Zahnkronen aus der Zahnarztpraxis Youssef & Kollegen auch großen Belastungen stand. Und das für lange Zeit:
Weil wir von der Qualität unserer Arbeit überzeugt sind, gewähren wir eine Garantiezeit von insgesamt 5 Jahren, sofern Sie regelmäßig an der Prophylaxe teilnehmen.
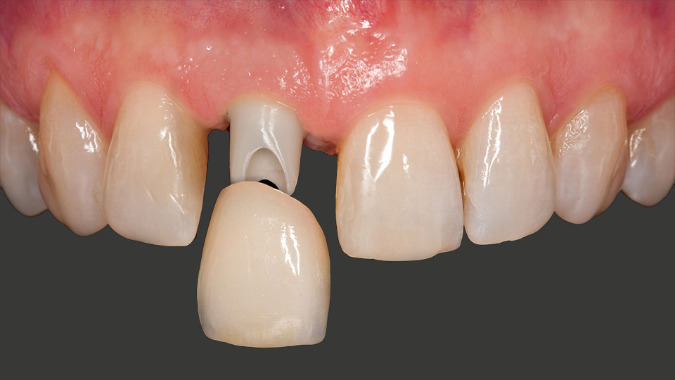
Lückenschluss durch Implantat plus Krone
Wenn ein oder mehrere Zähne fehlen oder nicht zu retten sind, ist die Lückenversorgung mit einem oder mehreren Zahnimplantaten heute fast der Regelfall.
Als künstliche Zahnwurzel tragen sie die Zahnkrone – Sie werden kaum einen Unterschied spüren.
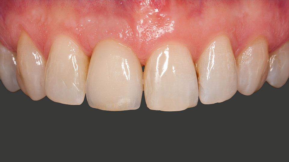
Das Implantat ist die Basis und wird in den Kieferknochen gesetzt. Die implantatgetragene Zahnkrone darauf passen wir optisch und funktional an die übrigen Zähne an. Aus biokompatiblen, hochleistungsfähigem Material gefertigt, sieht die neue Krone aus und arbeitet wie ein „echter“ Zahn. Und Sie können wieder unbeschwert kauen und lückenlos lachen.
Sind mehrere oder alle Zähne zu ersetzen, können Implantate auch Brücken oder Vollprothesen tragen.

