Veneers – für gleichmäßig geformte Zähne
Menschen mit einer ebenmäßigen, weißen Zahnreihe haben gut lachen: Sie wirken selbstbewusst, attraktiv und sympathisch. Und das macht sie oft sogar noch erfolgreicher – in privaten Beziehungen und beim beruflichen Aufstieg. Doch der „Zahn der Zeit“ hinterlässt auch am Gebiss seine Spuren: hier eine Verfärbung, dort eine abgesplitterte Kante. Damit Ihr Lächeln selbstbewusst erstrahlt, bieten wir Ihnen schonende Behandlungen für ästhetische Korrekturen.
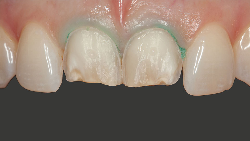
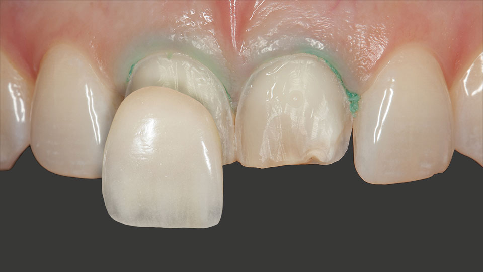
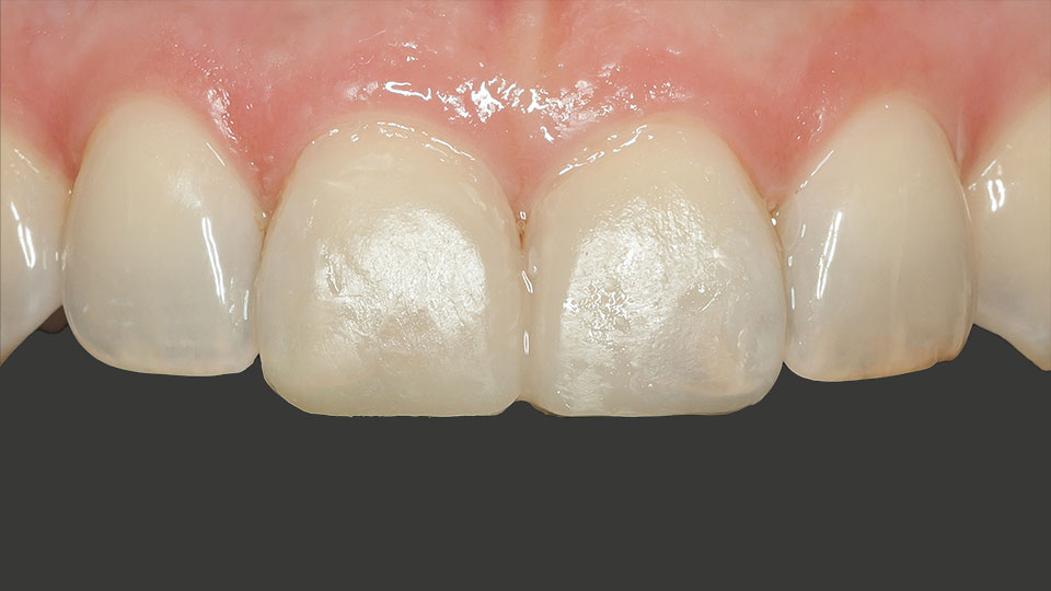
Mit Veneers geben wir einzelnen Zähnen eine perfekte, harmonische Form und sorgen für eine optisch perfekte Zahnreihe. Veneers sind hauchdünne Keramikschalen, die so aussehen und auch so widerstandsfähig sind wie der natürliche Zahnschmelz. Ihre Form lässt sich individuell anpassen – so wie Sie sich Ihre perfekten Zähne wünschen.
Veneers zaubern ein harmonisches Lächeln
Das perfekte Lächeln zeigt zwei Reihen weißer, gleichmäßig geformter Zähne. Doch die hat nicht jeder. Bei manchen Zähnen wirkt der Schmelz fleckig, der Zahn ist von Innen dunkel eingefärbt. Manche Zähne sind auch von Natur aus gelblich. Bei anderen stören ungleich große Lücken oder abgesplitterte Kanten das harmonische Gesamtbild.
Fest auf die Zähne aufgeklebt verdecken Veneers geschickt kleine Fehlstellungen, Verfärbungen oder Risse. Mit guter Mundhygiene halten sie lange und sind dabei viel zahnschonender als eine Krone oder eine Zahnspange.


